Tìm hiểu khí cụ niềng răng mắc cài sứ
Có nhiều người muốn niềng răng thẩm mỹ nhưng vẫn còn khá e ngại việc mắc cài bằng kim loại bị lộ quá rất nhiều và thô khiến cho họ kém tự tin. Hãy cùng chúng tôi tìm hiểu khí cụ niềng răng mắc cài sứ nhé.
Với xu hướng làm đẹp ngày càng phổ biến thì ngày càng có nhiều người đã tìm tới các địa chỉ nha khoa niềng răng ở đâu tphcm để tân trang lại hàm răng của mình cho trắng sáng, đều đặn hơn. Thời điểm hiện tại, niềng răng thẩm mỹ là một trong những dạng hình thức được rất nhiều người áp dụng để có 1 hàm răng đẹp nhất.
Tìm hiểu khí cụ niềng răng mắc cài sứ
Trước đây, niềng răng truyền thống thường thực hiện mắc cài kim loại, tuy nhiên xét về mặt thẩm mỹ, mắc cài bằng kim loại lại làm cho người niềng ngại ngùng do niềng nhìn khá thô. Bởi thế các bác sĩ đã phát triển cũng như sáng chế ra niềng răng sứ thẩm mỹ để loại bỏ các hạn chế về hoàn mỹ của mắc cài bằng kim loại.
Đối với các tình trạng răng mọc lệch, hô móm bởi răng, răng mọc thưa thì phương pháp niềng răng nha khoa sẽ là chọn hiệu quả giúp giải quyết cũng như điều trị. Một trong các dụng cụ niềng răng thẩm mỹ được ưa chuộng nhất hiện tại đấy là niềng răng mắc cài sứ, vì thẩm mỹ mà dòng mắc cài này mang đến là rất cao.
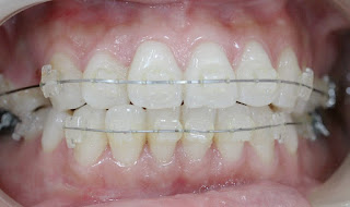
Niềng răng mắc cài sứ thẩm mỹ sở hữu kết cấu như niềng mắc cài kim loại song phần mắc cài được làm bằng sứ trong suốt. Bài viết bạn tham khảo thêm: niềng răng bao nhiêu tiền, chi phí cụ thể 2018?
Niềng răng mắc cài sứ bao gồm 2 loại:
- Niềng răng sứ truyền thống: bằng loại mắc cài này, bác sĩ thực hiện dây thun buộc dây cung vào từng mắc cài và bạn cần tái khám thường xuyên giúp thay dây thun.
- Niềng răng bằng sứ tự động: Là loại mắc cài nắp đậy, giúp cho dây cung được trượt tự bởi vì trong rãnh mắc cài. Nhờ loại mắc cài này, số lần tái khám sẽ ít hơn, kết quả điều trị tốt và mau chóng hơn so bằng với mắc cài niềng răng sứ truyền thống.












